大肠杆菌密码子优化和ARTP诱变高效分泌溶葡萄球菌酶
来源: 作者: 发布时间:2022-08-04 16:06 浏览量:84
本期为您推荐齐鲁工业大学徐振上老师研究团队发表在知名期刊《LWT - Food Science and Technology》上的一篇文章:High-level secretory production of lysostaphin in Escherichia coli mutant by codon optimization and atmospheric and room temperature plasma mutagenesis.
文章摘要内容如下:
溶葡萄球菌酶是一种抗菌剂,可以特异性地溶解金黄色葡萄球菌的细胞壁,因此具有预防金黄色葡萄球菌引起的食物腐败的潜力,但它天然来源的产量低,且模仿葡萄球菌属于致病菌,不适合工业发酵生产。
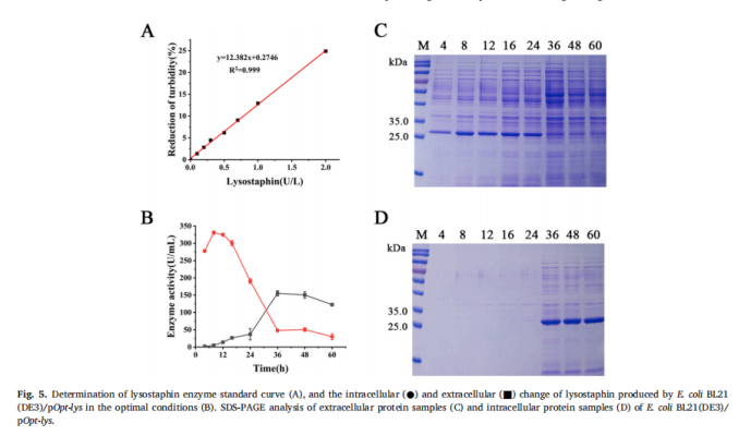
本研究将溶葡萄球菌酶编码基因进行密码子优化(Opt-lys),然后连接到pET-22b(+)载体中,在大肠杆菌BL21(DE3)中实现异源表达,结果显示溶葡萄球菌酶也可被大肠杆菌分泌到细胞外。基于此,本研究建立了一种利用双层平板筛选分泌性溶葡萄球菌酶突变体的高通量筛选方法。结合常压室温等离子体(ARTP)诱变方法,获得了细胞外活性最高的菌株BL21(DE3)/pOpt-lys4-18。经过发酵条件优化后,确定其最大胞外活性为155.3U/mL,胞外蛋白浓度达到442.26 mg/L。因此,本研究提供了一种能够高效生产溶葡萄球菌酶的重组菌株和更好的突变体筛选方法,为溶葡萄球菌酶的应用和研究奠定了基础。
文章精彩内容如下:


